10-ЛЕТНИЙ ОПЫТ КРИОАБЛАЦИИ ПОЧЕЧНО-КЛЕТОЧНОГО РАКА
10-ЛЕТНИЙ ОПЫТ КРИОАБЛАЦИИ ПОЧЕЧНО-КЛЕТОЧНОГО РАКА
Аннотация
По данным ВОЗ, почечно-клеточный рак (ПКР) в мире занимает 14 место среди всех впервые выявленных злокачественных опухолей и составляет 3% от общего числа диагностированных опухолей . В российской статистике рак почки занимает 10 место . Хирургическое лечение остается «золотым» стандартом лечения ПКР. Наряду с резекцией и нефрэктомией в арсенал современного хирурга прочно вошли аблативные методики лечения ПКР — криоаблация. Применение данного метода позволяет успешно лечить коморбидных пациентов, а также использовать данную методику при билатеральном ПКР, минимизируя риски хирургических осложнений и анестезиологического пособия. Проведен ретроспективный анализ эффективности криоаблации с 2015 по 2025 гг. у 630 больных ПКР, находящихся на лечении в ГБУ РО «КДЦ «Здоровье» в г. Ростове-на-Дону. Возраст больных варьировал от 41 до 82 лет (средний возраст 61,5 лет). Из них 346 женщин, 284 мужчин. Особенностью всех пациентов являлось наличие коморбидного статуса, конституциональных особенностей, сопутствующей патологии, ограничивающих возможности применения нефрэктомии и резекции почки. Всем больным выполнена чрескожная криоаблация с одномоментной биопсией под местной анестезией с использованием КТ навигации. В зависимости от размеров опухоли подбирались криозонды различного размера ледяного шара от 0,8 см до 2 см в диаметре. Проводились 3 цикла заморозки опухоли по 15 минут каждый цикл, чередующиеся с активным оттаиванием в течение 10 минут. Эффективному воздействию были подвержены опухоли, расположенные по задне-латеральной поверхности размерами до 4 см. Криаоблация опухоли почки является малоинвазивным хирургическим методом лечения с минимально низкими показателями осложнений, эффективность которого сопоставима с традиционной резекций почки. Доказательная клиническая база, собранная в течение 30 лет, делает криоблацию ПКР не альтернативным, а вариативным методом, при условии тщательно подобранной когорты больных.
1. Введение
По данным ВОЗ, почечно-клеточный рак (ПКР) в мире занимает 14 место среди всех впервые выявленных злокачественных опухолей в мире и составляет 3% от общего числа диагностированных опухолей. В 2022 году было выявлено 434 840 новых случаев рака почки в мире
. В российской статистике рак почки занимает 10 место . Хирургическое лечение остается «золотым» стандартом лечения ПКР. Наряду с резекцией и нефрэктомией в арсенал современного хирурга прочно вошли аблативные методики лечения ПКР, в частности криоаблация. Применение данного метода позволяет успешно лечить коморбидных пациентов, а также использовать данную методику при билатеральном ПКР, минимизируя риски хирургических осложнений и анестезиологического пособия. История успешной криоаблации ПКР берет свое начало с 1974 г., когда под руководством Г. Брайнинга, впервые была проведена экспериментальная криоаблация рака почки на животных . М. Утида с соавт. в 1995 г. опубликовали данные об успешном применении чрескожной криоаблации опухоли почки у человека . Вслед за японскими учёными Г.Д. Шмит с соавт. и А.Дж. Вайсброд с соавт. опубликовали ряд работ об успешном применении криоаблации опухолей почек , . А.А. Жернов и В.В. Корякин приводят сводные данные многочисленных авторов, характеризующих криоаблацию при ПКР как эффективную методику (рис. 1). А.В. Говоров и соавт. приводят обзорные данные об эффективности применения лапароскопичекой криоаблации ПКР (рис. 2).
Рисунок 1 - Сводные данные о рецидивах и выживаемости при криоаблации

Рисунок 2 - Раковоспецифическая выживаемость при криоаблации опухоли почки
Примечание: сохранены оригинальные внутренние ссылки источника (в первом столбце)
Таким образом, многочисленные исследования доказывают эффективность применяемой методики.
2. Материалы и методы
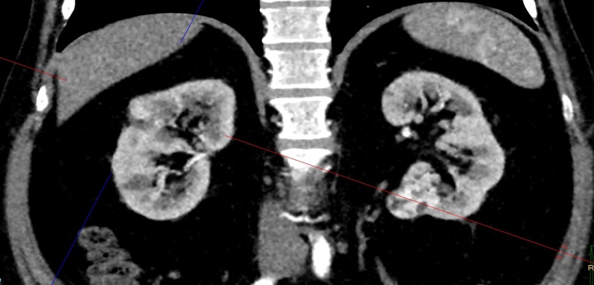
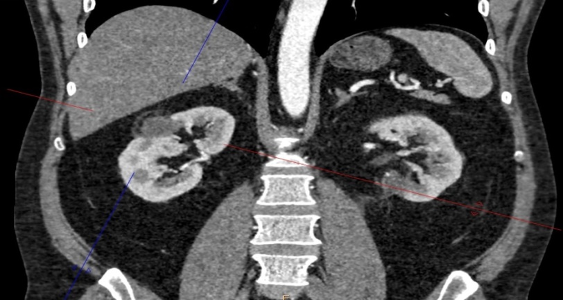
Проведен ретроспективный анализ эффективности криоаблации с 2015 по 2025 гг. у 630 пациентов больных с ПКР находящихся на лечении в ГБУ РО КДЦ «Здоровье». Возраст больных варьировал от 41 до 82 лет (средний возраст 61,5 лет). Из них 346 женщин, 284 мужчин. Критериями выбора методики криоаблации являлись наличие коморбидного статуса, конституциональные особенности и сопутствующая соматическая патология, которые ограничивали возможность выполнения органосохраняющей резекции или радикальной нефрэктомии. При этом все пациенты, независимо от возраста и пола, имели стадию T1aN0M0, а их функциональный статус по шкале ECOG составлял 0–1. Диагноз был установлен на основании клинико-рентгенологических данных (КТ почек с контрастным усилением) в соответствии с рентгенологическими критериями диагностики ПКР. Гистологическое подтверждение диагноза получали у 587 (93%) больных, остальные случаи признавались ложноотрицательным результатом. Единственная почка была у 5 больных, у 3 больных был билатеральный ПКР, в последующем такие больные получали комбинированное хирургическое лечение (рис. 3, 4).

Рисунок 3 - Снимки больного с билатеральным ПКР (до лечения)

Рисунок 4 - Снимки после комбинированной хирургии ПКР (криоаблация опухоли правой почки, резекция левой почки)

Рисунок 5 - Криоаблация двух рядом расположенных опухолей

Рисунок 6 - Пример гидродиссекции при близком прилежании угла двенадцатиперстной кишки у больного с опухолью единственной почки
Таблица 1 - Зависимость эффективности криоаблации от размера и топографии опухоли
Методы оценки эффективности криоаблации | Размеры опухоли | Топография опухоли | ||||||
Менее 3 см | Более 3 см (но до 4 см) | Задняя и латеральная поверхность почки | Медиальная и Боковая поверхность почки | |||||
абс. число | % | абс. число | % | абс. число | % | абс. число | % | |
Количество пациентов | 415 | 65,9 | 215 | 34,1 | 525 | 83,3 | 105 | 16,7 |
Накопление контрастного вещества при КТ | 0 | 0 | 4 | 1,9 | 0 | 0 | 12 | 11,4 |
Гистологически подтвержденный рецидив при биопсии | 0 | 0 | 2 | 0,9 | 0 | 0 | 12 | 11,4 |
Как видно из таблицы 1, наиболее эффективному воздействию подвержены опухоли расположенные по задне-латеральной поверхности размерами до 4 см. Аналогичные результаты были получены в работе Г.Д. Шмит и соавт. .
3. Результаты и обсуждение
В первые часы после криоаблации все больные предъявляли жалобы на незначительные боли и дискомфорт в области хирургического воздействия, что потребовало обезболивание ненаркотическими анальгетиками. На первые сутки всем больным выполнялось УЗИ почек, ни у одного больного гематомы не зафиксировано. У 1 больного зафиксирован абсцесс на 20 день наблюдения, что потребовало его вскрытия. Функциональных нарушений почек не наблюдалось, в том числе и у больных с единственной почкой. Рецидив опухоли зафиксирован у 16 (2,5%) больных, с опухолями, расположенными по медиально-боковой поверхности. Причём у 5 пациентов из 16 процидив морфологически зафиксирован на 3 месяце наблюдения, у 3 на 6 месяце, и у 8 на 12 месяце. В последующем им всем выполнена резекция почки. Годичная безрицидивная выживаемость составила 97,5% и сохранилась на прежнем уровне в течение 10-летнего периода наблюдения, вплоть до летальных исходов связанных исключительно с сопутствующей патологией. Общая 10 летняя выживаемость составила 91%.
Выбор перкутанного способа введения криозондов обусловлен исключением анестезиологических рисков, в отличие от лапароскопического способа — что является важным компонентом в лечении соматически осложнённых, ослабленных коморбидным фоном пациентов. Таким образом, криоаблация является минимально инвазивной методикой с низким уровнем осложнений, эффективность которой сопоставима с резекцией почки. Актуальной темой для дальнейших исследований может стать поиск и расширение методов наблюдения за больными после криоаблации. Особый интерес занимают вопросы методов навигации: сочетанного онлайн ультразвукового исследования и использование аппарата SIRIO для КТ навигации и т.д., а также аппликация снимков с этих приборов. Совершенствование методов навигации в значительной мере позволит сократить время позиционирования криозондов, тем самым сокращая время операции.
4. Заключение
Криаоблация опухоли почки является хирургическим методом лечения, эффективность которого сопоставима с традиционной резекций почки. Доказательная клиническая база, собранная в течение 30 лет делает криоаблацию ПКР не альтернативным, а вариативным методом, при условии тщательно подобранной когорты больных.
