Особенности анатомической вариации положения проксимальных отделов бедренной вены при ультразвуковой визуализации
Особенности анатомической вариации положения проксимальных отделов бедренной вены при ультразвуковой визуализации
Аннотация
Введение: современные методы диагностики позволяют с высокой степенью достоверности оценивать индивидуальные анатомические особенности благодаря применению распространенных методов исследования. Совершенствование технических возможностей для оперативного лечения заболеваний магистральных сосудов, в том числе под ультразвуковым контролем, позволяет совершенствовать практические навыки специалистов, развивать теоретическую базу для поиска новых методов лечения.
Материалы и методы: проведено изучение распространенности различных вариантов бедренной вены в области бедренного треугольника. Исследование выполнялось с применением ультразвукового аппарата SonoAce R7. Участвовали 138 добровольцев (57 мужчин, 81 женщина) — 57,3±9,9 лет.
Результаты и обсуждение: оценивая взаимное положение элементов сосудистого пучка, были дифференцированы 6 типов положения анатомических структур. Среди женщин справа преобладал 2 тип взаимного отношения элементов сосудистого пучка бедра, составляя 35,8%. От 13,4% до 17,9% составляли 1, 3, 5 типы для взаимного положения сосудов. Самым редким вариантом взаимного положения сосудов был 4 тип справа, составляя 7,5%, а слева — 7,9%. Следует отметить, что слева 2 и 3 типы взаимного положения сосудов верхней трети бедра составили 31,7% и 24,5% случаев. В диапазоне значений от 9,5% до 14,3% были отмечены 1, 4, 5 типы взаимного положения элементов сосудистого пучка. В группе мужчин на правой нижней конечности в 36,5% случаев был отмечен 2 тип взаимного отношения сосудов. В диапазоне значений от 10,6% до 17% встречались 1, 6, 5 типы. Всего в 4,3% случаев можно было встретить 4 тип взаимного положения элементов сосудистого пучка бедра в проксимальной трети.
Выводы: в результате работы были определены наиболее распространенные варианты положения сосудов. Самым распространенным вариантом был 2 тип для взаимного положения сосудов бедра, когда вена, проходя медиально, не прикрывается бедренной артерией. Наиболее редко были отмечены 4 и 6 типы взаимного положения сосудов.
1. Введение
Современные методы диагностики позволяют с высокой степенью достоверности оценивать индивидуальные анатомические особенности благодаря применению распространенных методов исследования. В частности, ультразвуковая диагностика эффективно используется в качестве метода выявления особенностей развития и аномалий периферических сосудов , . Она позволяет уточнять особенности анатомической вариации в строении сосудистого русла, что позволяет совершенствовать методы малоинвазивных хирургических вмешательств, снижать риски операционных осложнений . Ультразвуковая диагностика получила широкое распространение в клинической практике и активно используется в диагностике заболеваний вен, при дифференциальной диагностике лимфостаза и изменений регионального кровоснабжения , , . Совершенствование технических возможностей для оперативного лечения заболеваний магистральных сосудов, в том числе под ультразвуковым контролем, позволяет совершенствовать практические навыки специалистов, развивать теоретическую базу для поиска новых методов лечения . Опыт применения знаний об индивидуальной изменчивости сосудистого русла является необходимым условием для обоснования внедрения персонифицированных технологий в современную хирургическую практику , , .
2. Методы и принципы исследования
Для изучения распространенности различных вариантов бедренной вены в области бедренного треугольника проведено на основе данных обследования 138 добровольцев. Исследование выполнялось с применением ультразвукового аппарата SonoAce R7, всего участвовали 57 мужчин, 81 женщина, в возрасте от 21 до 91 года (57,3±9,9 лет). Оценку сосудов проводили в положении лежа. Ультразвуковой датчик при минимальной компрессии кожных покровов устанавливали при начале визуализации параллельно паховой складке на середине расстояния от верхней передней подвздошной ости до лобкового бугорка. Смещая трансдьюсер, добивались получения изображения элементов сосудистого пучка. Дополнительная оценка хода сосудистых стволов дистально производилась после разворота датчика ультразвукового аппарата на 90º. Оценка сосудов выполнялась ниже уровня паховой связки до отхождения от бедренной артерии глубокой артерии бедра и слияния бедренной вены с глубокой веной бедра вне места локализации сафено-феморального соустья. Визуализация дополнялась доплерографией в режиме цветового картирования кровотока. Полученные результаты были архивированы в цифровом формате и в последующем обработаны. Интерпретация результатов обследования была выполнена благодаря применению средств обработки, реализованных в программе анализа медицинских диагностических изображений. Массив данных был обработан и сгруппирован в Microsoft Excel 2007, проведён статистический анализ данных с расчетом процентного количество выявляемых случаев, среднего значения возраста и ошибки среднего (M±m), первого и третьего квартилей распределения [Q1-Q3], коэффициента вариации, с использованием StatSoft Statistica 10.
3. Результаты и обсуждение
Оценивая взаимное положение элементов сосудистого пучка, были дифференцированы 6 типов положения анатомических структур:
1 тип характеризовался полным прикрытием ствола бедренной веной за счет артерии (рис. 1):

Пример диагностического ультразвукового изображения на уровне верхней трети бедра, поперечное сечение общей бедренной вены и общей бедренной артерии, Тип 1 взаимного положения сосудов
SonoAce R7, линейный датчик, женщина, 69 лет.
ОБА – общая бедренная артерия; ОБВ – общая бедренная вена; БПКВ – большая подкожная вена бедра

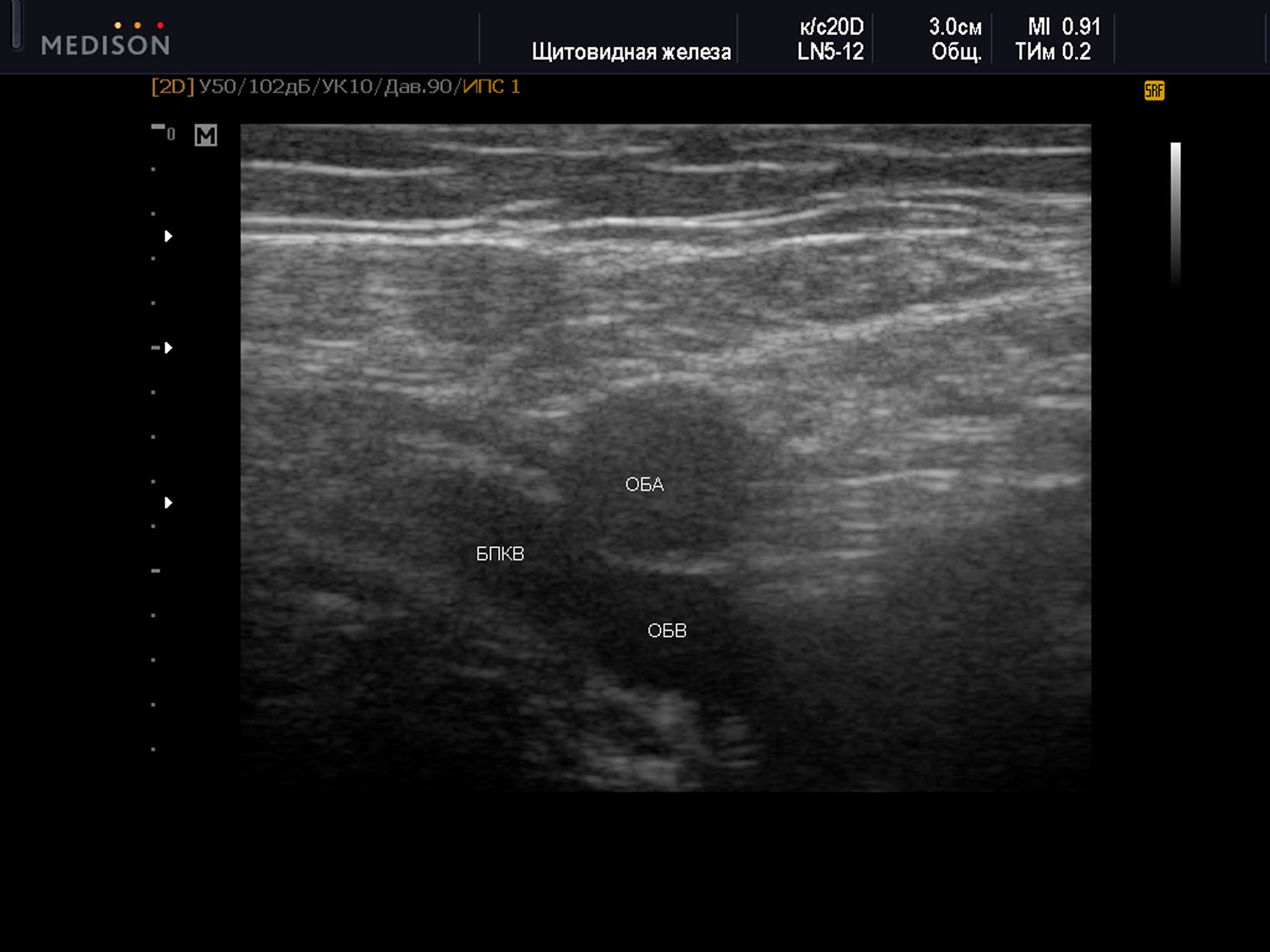
Пример диагностического ультразвукового изображения на уровне верхней трети бедра, поперечное сечение общей бедренной вены и общей бедренной артерии, Тип 2 взаимного положения сосудов
SonoAce R7, линейный датчик, мужчина, 55 лет.
ОБА – общая бедренная артерия; ОБВ – общая бедренная вена; БПКВ – большая подкожная вена бедра

Пример диагностического ультразвукового изображения на уровне верхней трети бедра, поперечное сечение общей бедренной вены и общей бедренной артерии, Тип 3 взаимного положения сосудов
SonoAce R7, линейный датчик, женщина, 75 лет.
ОБА – общая бедренная артерия; ОБВ – общая бедренная вена; БПКВ – большая подкожная вена бедра

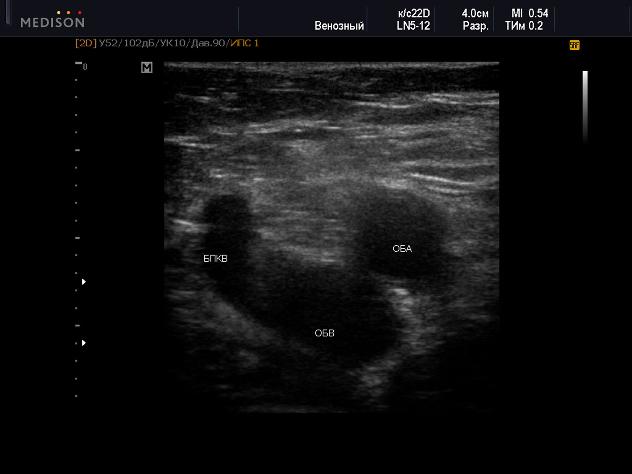
Пример диагностического ультразвукового изображения на уровне верхней трети бедра, поперечное сечение общей бедренной вены и общей бедренной артерии, Тип 4 взаимного положения сосудов
SonoAce R7, линейный датчик, женщина, 61 год.
ОБА – общая бедренная артерия; ОБВ – общая бедренная вена; БПКВ – большая подкожная вена бедра

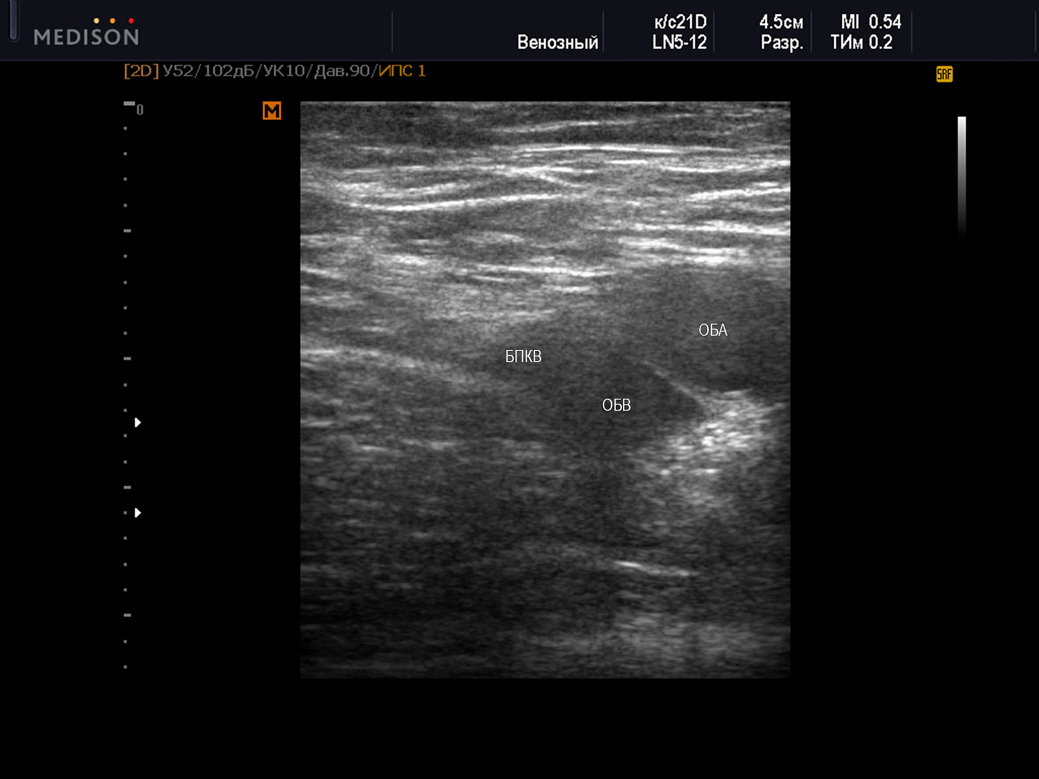
Пример диагностического ультразвукового изображения на уровне верхней трети бедра, поперечное сечение общей бедренной вены и общей бедренной артерии, Тип 5 взаимного положения сосудов
SonoAce R7, линейный датчик, женщина, 65 лет.
ОБА – общая бедренная артерия; ОБВ – общая бедренная вена; БПКВ – большая подкожная вена бедра

Пример диагностического ультразвукового изображения на уровне верхней трети бедра, поперечное сечение общей бедренной вены и общей бедренной артерии, Тип 6 взаимного положения сосудов
SonoAce R7, линейный датчик, мужчина, 45 лет.
ОБА – общая бедренная артерия; ОБВ – общая бедренная вена; БПКВ – большая подкожная вена бедра

Диаграмма размаха для возраста участников наблюдения (лет) по категории типа взаимного положения сосудов
StatSoft Statistica 10
2 тип оказался самым распространенным, составляя 33% от общего числа наблюдений. При этом в 36% был диагностирован справа, и в 29,8% — слева. Среди женщин данный тип встречался в 33,8% наблюдений. Справа данный вариант положения сосудов был выявлен в 35,8%, а слева в 31,7%. В группе мужчин представленный вариант расположения сосудов определялся в 31,8% всех наблюдений. Значительно чаще был выявлен справа — 36,2%, а слева в 26,8%. Возраст всех участников с данным типом положения сосудов был от 28 до 79 лет — 54,7±13,3 года, среди женщин возраст был от 28 до 79 лет — 52,9 ± 13,8 лет, возраст мужчин был от 28 до 78 лет — 57,0 ± 11,8 лет.
3 тип был выявлен среди 17% от общего числа участников наблюдения. Он встречался чаще, достигая 20,2% всех случаев, а справа в 14% наблюдений. У женщин этот тип диагностировался в 19,2%. В группе женщин слева данный вариант определялся в 25,4%, а справа только в 13,4% случаев. В группе мужчин он был выявлен в 13,6% всех наблюдений. Различия при этом оказались менее выраженными справа 14,9%, а слева — 12,2%. Возраст всех участников был с данным типом положения сосудов от 33 до 79 лет — 59,9±7,8 лет, среди женщин возраст был от 33 до 79 лет - 60,6 ± 7,0 лет, возраст мужчин был от 40 до 72 лет — 58,6 ± 9,0 лет.
4 тип оказался самым редким — всего 7,8% от общего числа наблюдений. Из них 6,1% были выявлены справа, а 9,6% — слева. У женщин данный вариант положения сосудов выявлен в 9,2% всех наблюдений. Справа он выявлен в 7,5%, а слева в 11,1% случаев. В группе мужчин такой тип взаимного положения сосудов выявлен в 5,7% всех наблюдений. Справа в 4,3% наблюдений, а слева в 7,3% среди мужчин. Возраст всех участников был с данным типом положения сосудов от 28 до 77 лет — 53,3±12,9 лет, среди женщин возраст был от 38 до 77 лет — 58,3 ± 12,0 лет, возраст мужчин был от 28 до 57 лет — 41,2 ± 9,4 года.
5 тип встречался в 18,3% от общего числа наблюдений. Распределение по сторонам справа было в 17,5% случаев и слева в 19,2%. У женщин этот тип диагностировался в 16,2% наблюдений. Справа был выявлен в 17,9%, а слева в 14,3% наблюдений. Среди мужчин пятый тип взаимного положения сосудов был выявлен в 21,6% наблюдений. Справа определялся в 17,0% наблюдений, а слева в 26,8%. Возраст всех участников был с данным типом положения сосудов от 31 до 75 лет — 56,6±8,3 года, среди женщин возраст был от 38 до 75 лет — 58,7 ± 7,5 лет, возраст мужчин был от 31 до 67 лет — 54,2 ± 8,8 лет.
6 тип был обнаружен среди 10,6% всех наблюдений. Преобладали случаи справа — 13,2%, а слева были выявлены в 7,7%. У женщин данный вариант был выявлен в 9,2% наблюдений. Справа в 10,4%, а слева в 7,9% наблюдений. Среди мужчин такой тип взаимного положения сосудов был отмечен в 12,5%. Справа он определялся значительно чаще в 17,0%, а слева в 7,3% наблюдений. Возраст всех участников был с данным типом положения сосудов от 21 до 68 лет — 58,3±8,2 года, среди женщин возраст был от 61 до 68 лет — 64,0 ± 2,2 года, возраст мужчин был от 21 до 68 лет — 51,5 ± 11,3 года.
Таким образом, в наблюдении наиболее часто встречался 2 тип взаимного отношения сосудов, без учета пола участников до 32,6±3,4% случаев. Справа в 17,5% был выявлен 5 тип положения сосудов. Реже всего регистрировались 4 тип справа (6,1%) и 6 тип слева (7,7%) взаимного положения сосудов в области проксимальной трети бедра.
Данные статистической вариации процентных отношений выявленных вариантов отношения сосудов были такими, что 2 тип встречался в целом значительно чаще, составляя 32,6±3,4%, с межквартельным интервалом [Q1–Q3] 30,5–35,9%, коэффициентом вариации CV — 13,4%. Следующим по частоте оказался 5 тип взаимного положения сосудов, в среднем 19,0±3,9%. Межквартельные отношения [Q1–Q3] составили диапазон 16,3–20,1%, а коэффициент вариации CV — 28,6%. 3 тип в среднем определялся в 16,5±4,5% случаев, при межквартельных значениях [Q1–Q3] 13,1–17,5, при CV — 36,7%. 1 тип в среднем был выявлен в 13,6±3,6% случаев. Первый и третий квартили составляли [Q1–Q3] 10,3–16,1%, а CV — 33,4%. 6 тип в среднем был выявлен в 10,7±3,2%, с [Q1–Q3] 7,8–12,1% и наибольшим коэффициентом вариации CV — 41,5%. Самым редким оказался 4 тип, в среднем выявленный в 6,4±2,0, при межквартельном интервале 4,4–7,9 с CV — 39,2%.
Среди женщин справа преобладал 2 тип взаимного отношения элементов сосудистого пучка бедра, составляя 35,8%. От 13,4% до 17,9% составляли 1, 3, 5 типы для взаимного положения сосудов. Самым редким вариантом взаимного положения сосудов был 4 тип справа составляя 7,5%, а слева — 7,9%. Следует отметить, что слева 2 и 3 типы взаимного положения сосудов верхней трети бедра составили 31,7% и 24,5% случаев. В диапазоне значений от 9,5% до 14,3% были отмечены 1, 4, 5 типы взаимного положения элементов сосудистого пучка.
В группе мужчин на правой нижней конечности в 36,5% случаев был отмечен 2 тип взаимного отношения сосудов. В диапазоне значений от 10,6% до 17% встречались 1, 6, 5 типы. Всего в 4,3% случаев можно было встретить 4 тип взаимного положения элементов сосудистого пучка бедра в проксимальной трети.
4. Заключение
В результате проведенной работы были определены наиболее распространенные варианты положения сосудов. Самым распространенным вариантом был 2 тип для взаимного положения сосудов бедра, когда вена, проходя медиально, не прикрывается бедренной артерией. Наиболее редко были отмечены 4 и 6 типы взаимного положения сосудов.
